Smart Match

Intelligent Imaging: AI & Radiology Solutions

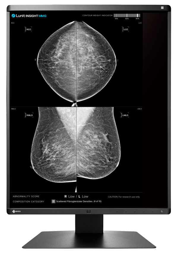
Explore AI-powered tools and medical-grade displays that help radiologists work faster, see clearer, and diagnose with greater confidence.

Dedicated EIZO RadiForce Monitor

RX570

Dedicated EIZO RadiForce Monitor

Product Enquiry